抜歯矯正と矯正歯科の専門的手法。
抜歯が必要な歯科矯正治療とは?
contents
目次
抜歯症例
当院では、マウスピース矯正では難しい、不可能と言われることが多い抜歯を伴う矯正治療も、治療上どうしても必要な場合は積極的に行っております。
横顔(口元)、Eライン、口ゴボの大幅な改善を目指す場合、抜歯を行うことが多いです。
抜歯する場合、神経を取った歯や、骨から飛び出していて健康とは言えない歯を優先して抜くように計画を立てます(しっかりとした目標設定のために、この方針に沿うことが出来ない場合もあります)。
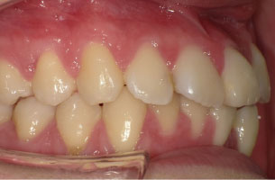
14歳女性のビフォーアフター










| 診断 | 叢生(デコボコがある状態)、下顎前突(受け口) |
|---|---|
| 治療方針 | インビザラインシステムにて下顎前歯の抜歯と矯正用ゴムを併用した下顎大臼歯の遠心移動とIPR(歯と歯の間をわずかに削合してスペースを獲得する方法)を組み込んだ動的矯正治療を行い、理想的な噛み合わせを確立した後、保定を行う。 |
| 治療費 ※ | 102万8,000円(診断、型取り、毎回のチェック料、保定装置を含む料金) |
| 治療期間 | 5年 |
| リスク | 1日20時間以上マウスピースを使用できない場合、歯が動かない可能性がある。奥歯を動かしている間はかみ合わせが安定しない。 |
※ 治療費は、治療当時の費用で、現在の費用と異なる可能性があります。現在の費用は治療費のページでご確認くださいませ。
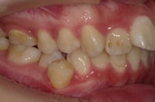
20歳女性のビフォーアフター










| 診断 | 叢生(デコボコがある状態)、交叉咬合(かみ合せが一部反対になっている状態) |
|---|---|
| 治療方針 | 第一小臼歯を4本抜歯し、インビザラインシステムにて前歯部の遠心移動、IPR(歯と歯の間をわずかに削合してスペースを獲得する方法)を組み込んだ動的矯正治療を行い、理想的な噛み合わせを確立した後、保定を行う。 |
| 治療費 ※ | 86万4000円(診断、型取り、毎回のチェック料、保定装置を含む料金) |
| 治療期間 | 2年3カ月 |
| リスク | 1日20時間以上マウスピースを使用できない場合、歯が動かない可能性がある。奥歯を動かしている間はかみ合わせが安定しない。 |
※ 治療費は、治療当時の費用で、現在の費用と異なる可能性があります。現在の費用は治療費のページでご確認くださいませ。
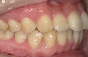
20代女性のビフォーアフター







| 診断 | 叢生(デコボコがある状態)、上顎前突(出っ歯の状態) |
|---|---|
| 治療方針 | 第一小臼歯を4本抜歯し、インビザラインシステムにて前歯部の遠心移動を組み込んだ動的矯正治療を行い、理想的な噛み合わせを確立した後、保定を行う。 |
| 治療費 ※ | 約88万円(診断、型取り、毎回のチェック料、保定装置を含む料金) |
| 治療期間 | 3年1か月 |
| リスク | 1日20時間以上マウスピースを使用できない場合、歯が動かない可能性がある。 |
※ 治療費は、治療当時の費用で、現在の費用と異なる可能性があります。現在の費用は治療費のページでご確認くださいませ。
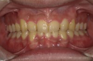
23歳女性のビフォーアフター










| 診断 | 叢生(デコボコがある状態)、交叉咬合(かみ合せが一部反対になっている状態) |
|---|---|
| 治療方針 | 第一小臼歯を4本抜歯し、インビザラインシステムにて上下顎臼歯の近心移動と前歯部の遠心移動、IPR(歯と歯の間をわずかに削合してスペースを獲得する方法)を組み込んだ動的矯正治療を行い、理想的な噛み合わせを確立した後、保定を行う。 |
| 治療費 ※ | 97万2000円(診断、型取り、毎回のチェック料、保定装置を含む料金) |
| 治療期間 | 1年6か月 |
| リスク | 1日20時間以上マウスピースを使用できない場合、歯が動かない可能性がある。奥歯を動かしている間はかみ合わせが安定しない。 |
※ 治療費は、治療当時の費用で、現在の費用と異なる可能性があります。現在の費用は治療費のページでご確認くださいませ。
24歳女性のビフォーアフター










| 診断 | 叢生(デコボコがある状態)、上顎前突(上あごが前に出ている状態) |
|---|---|
| 治療方針 | 第一小臼歯を4本抜歯し、インビザラインシステムにて前歯部の遠心移動、IPR(歯と歯の間をわずかに削合してスペースを獲得する方法)を組み込んだ動的矯正治療を行い、理想的な噛み合わせを確立した後、保定を行う。 |
| 抜歯部位 | 右上4番、右下4番、左上4番、左下4番 |
| 治療費 ※ | 86万4千円(診断、型取り、毎回のチェック料、保定装置を含む料金) |
| 治療期間 | 2年3か月 |
| リスク | 1日20時間以上マウスピースを使用できない場合、歯が動かない可能性がある。奥歯を動かしている間はかみ合わせが安定しない。 |
※ 治療費は、治療当時の費用で、現在の費用と異なる可能性があります。現在の費用は治療費のページでご確認くださいませ。
28歳男性のビフォーアフター







| 診断 | 叢生(デコボコがある状態)過蓋咬合(かみあわせが深い状態) |
|---|---|
| 治療方針 | インビザラインシステムにて下顎前歯と上顎小臼歯の抜歯とIPR(歯と歯の間をわずかに削合してスペースを獲得する方法)を組み込んだ動的矯正治療を行い、理想的な噛み合わせを確立した後、保定を行う。 |
| 抜歯部位 | 右下2番、左上4番 |
| 治療費 ※ | 86万4000円(診断、型取り、毎回のチェック料、保定装置を含む料金) |
| 治療期間 | 2年11カ月 |
| リスク | 1日20時間以上マウスピースを使用できない場合、歯が動かない可能性がある。下の前歯を抜歯するので上下の歯の正中線があわない。 |
※ 治療費は、治療当時の費用で、現在の費用と異なる可能性があります。現在の費用は治療費のページでご確認くださいませ。
20歳女性のビフォーアフター







| 診断 | 叢生(デコボコがある状態)、下顎前突(受け口) |
|---|---|
| 治療方針 | インビザラインシステムにて、下の親知らずと第一小臼歯、上の乳歯の抜歯と矯正用ゴムを併用し、IPR(歯と歯の間をわずかに削合してスペースを獲得する方法)を組み込んだ動的矯正治療を行い、理想的な噛み合わせを確立した後、保定を行う。 |
| 抜歯部位 | 下の親知らず、第一小臼歯、上の乳歯 |
| 治療費 ※ | 86万4千円(診断、型取り、毎回のチェック料、保定装置を含む料金) |
| 治療期間 | 1年8か月 |
| リスク | 1日20時間以上マウスピースを使用できない場合、歯が動かない可能性がある。奥歯を動かしている間はかみ合わせが安定しない。 |
※ 治療費は、治療当時の費用で、現在の費用と異なる可能性があります。現在の費用は治療費のページでご確認くださいませ。
セラミック矯正(補綴矯正)
40歳女性のビフォーアフター



| 診断 | インレー脱離(被せものが取れた)、カリエス(虫歯) |
|---|---|
| 治療方針 | カリエスを除去し、形を整えた後にセラミックインレーを装着 |
| 治療費 ※ | 55000円(税込) |
| 治療期間 | 1カ月 |
| リスク | 割れるリスクあり |
※ 治療費は、治療当時の費用で、現在の費用と異なる可能性があります。現在の費用は治療費のページでご確認くださいませ。
抜歯矯正とは?
抜歯矯正とは、歯並びの矯正治療方法の一つで、特定の歯を歯列から抜歯することで、歯の位置や噛み合わせを改善する方法です。一般的に、歯列の狭窄や歯並びの乱れ、上下の顎の不均衡などの問題を解決するために行われます。抜歯によりスペースを作ることで、歯を動かしやすくし、正しい位置に移動させることができます。抜歯矯正は、顎の成長が完了している成人や、生えてきた永久歯によって顎のサイズが制限されている場合によく適用されます。
当院では、マウスピース矯正では難しい、不可能と言われることが多い抜歯を伴う矯正治療も、治療上どうしても必要な場合は積極的に行っております。
横顔(口元)、Eライン、口ゴボの大幅な改善を目指す場合、抜歯を行うことが多いです。
抜歯の目的
健康な歯を抜く理由
抜歯せず歯列矯正ができれば問題ありませんが、抜歯により健康な歯を抜く理由は、以下のようなものが挙げられます。
矯正治療のためのスペース確保:歯列矯正を行う際に、歯と歯の間にスペースが必要な場合があります。そのため、歯を抜くことで必要なスペースを確保し、歯列を正しく並べることができます。
歯列の不正を修正するため:一部の歯が他の歯に対して大きく出っ歯や受っ歯になっている場合、歯列全体のバランスを整えるために歯を抜くことがあります。
矯正治療の効果を高めるため:歯列矯正のために一時的に一部の歯を抜くことで、矯正治療の効果を高めることができます。特に重度の歯並びの問題がある場合には、歯を抜くことで効果的な治療を行うことができる場合があります。
ただし、歯を抜くことで健康な歯を失ってしまうため、歯科医師との相談が必要です。抜歯が必要かどうかの判断は、個々の患者の状態や治療目標によって異なるため、専門家の意見を聞くことが重要です。
歯並びの改善、咬合の正常化、そして顔のバランスの向上は、現代の歯科治療の目標の一つとなっています。歯並びの悪さや咬合異常は、見た目だけでなく口腔の健康にも影響を及ぼす可能性があります。
これらの問題を解決するためには、まずきちんとした診断が必要です。歯並びや咬合を正常化するための具体的な治療方法は多岐にわたりますが、矯正治療や義歯の調整などが一般的な選択肢として挙げられます。これらの治療を通じて、歯列や顎の位置が改善されることで、噛む力や咀嚼機能が向上し、口腔内の負担が軽減されます。また、顔のバランスの改善によって、見た目の美しさと自信も増すことが期待できます。歯並びの改善や咬合の正常化は、個々の患者の状態に合わせた治療計画が重要であり、医師との相談の上で進めていきます。
抜歯矯正のメリットとデメリット
抜歯矯正は、矯正治療の一つの手法であり、歯並びを改善するために歯の抜歯を行います。この手法にはメリットとデメリットがあります。
メリット
- スペースの創出:歯の抜歯によって、狭い口内に十分なスペースを作ることができます。これにより、歯を正しい位置に移動させるための余裕を持つことができます。
- 歯の移動の容易さ:抜歯によって、歯を移動させるためのスペースが増えます。これにより、より正確な歯列矯正が可能となります。
デメリット
- 患者への負担:歯の抜歯は、一時的な痛みや腫れ、出血などの副作用をもたらす場合があります。また、長期的な治療期間や追加の治療が必要になることもあります。
- 口腔機能への影響:歯の抜歯によって、咀嚼や発音などの口腔機能に一時的な変化が生じる可能性があります。
抜歯矯正における適応と治療の進め方
抜歯矯正は、特定の症例に対して適用されます。以下は、抜歯矯正の適応と治療の進め方の一般的なガイドラインです:
狭い口腔内:歯並びを改善するために必要なスペースが不足している場合、抜歯が考慮されます。
重度の歯列不正:歯並びの問題が軽度ではなく、重度の場合、抜歯が必要な場合があります。
治療の進め方
診断と計画:矯正歯科医による詳細な検査と診断を受け、抜歯の必要性と治療計画が立てられます。
抜歯手術:抜歯手術は、口内麻酔の下で行われます。抜歯後、傷口は適切に処理され、治療計画の一環として矯正装置が取り付けられます。
矯正治療:抜歯後、矯正装置が適切に設置され、歯の移動が開始されます。治療の進行に応じて、装置の調整と定期的なフォローアップが行われます。
終了とリテンション:治療が終了した後、リテンションフェーズに入ります。歯の安定化のために、リテンション装置が使用され、定期的なチェックアップが行われます。
以上が抜歯矯正の基本知識と、メリット・デメリット、適応と治療の進め方についての概要です。専門の矯正歯科医に相談して、自分に最適な治療法を見つけることをお勧めします。
抜歯矯正と矯正歯科の併用
抜歯矯正と歯列矯正の併用による効果
矯正歯科の専門的な手法では、歯並びやかみ合わせの問題を解決するためにさまざまな方法が存在します。抜歯矯正はその中の一つで、歯を正しい位置に移動させるために必要な歯の抜歯を行います。この併用によって、より効果的に理想的な歯列を実現することができます。
抜歯矯正の主な効果は、以下の通りです
- スペースの確保:歯の抜歯によって不足しているスペースを確保し、他の歯を正しい位置に移動させることができます。
- 歯の移動範囲の拡大:抜歯によってスペースを作ることで、歯の移動範囲が広がり、より理想的な位置に歯を配置することができます。
- 歯列の調整:抜歯によって余分な歯が取り除かれ、歯列の調整が容易になります。
合わせて行われることの一例
抜歯矯正の際には、矯正歯科の専門的な手法が使用されることもあります。以下は、抜歯矯正と併用される一例です
- ブラケット矯正:抜歯によってスペースを確保し、ブラケットとワイヤーを使用して歯を移動させる方法です。この方法は効果的に歯並びを調整することができます。
- 舌側矯正:歯の裏側にブラケットとワイヤーを配置する方法です。見た目上は目立ちにくく、矯正効果を得ることができます。
- 透明ブラケット矯正:透明なブラケットを使用して歯を移動させる方法です。見た目が目立ちにくく、外見上の制約を軽減します。
抜歯矯正と矯正歯科の併用は、患者の状況や治療目標によって決定されます。専門の矯正歯科医との相談を通じて、最適な方法を選択し、理想的な歯列を実現しましょう。
親知らずの抜歯矯正
親知らずは、普通の歯と比べて後ろに位置しているため、矯正治療の際には抜歯が必要な場合があります。具体的な治療方法は、個人の口腔状態によって異なりますが、一般的な流れは以下の通りです。
まず、歯科医師や矯正歯科医による診断が行われます。口腔内のレントゲンなどの画像を用いて、親知らずの位置や咬み合わせ状態を確認します。
その後、抜歯の必要性がある場合は、抜歯の予定が立てられます。抜歯は一般的には口腔外科医によって行われます。抜歯前に適切な麻酔が施され、親知らずが適切に抜けるように歯茎を切開したり、骨を削ったりする場合もあります。
抜歯後は、抜歯した場所には通常数日から1週間程度の時間がかかり、治癒するまで経過観察が行われます。この期間中は痛みや腫れが起こる可能性がありますが、鎮痛剤や氷の塗布などで症状を和らげることができます。
抜歯が完了した後には、矯正治療が進められます。抜歯によってできたスペースを利用して、他の歯を移動させることで、咬み合わせや歯並びの改善を図ります。具体的な治療方法は、個人の状態や治療計画によって異なりますが、矯正装置(ブラケットやワイヤー)を用いる場合が一般的です。
歯列矯正における残存間隙の対策
残存間隙の原因と対策
歯列矯正治療の過程で、時には歯並びの調整が完了した後でも、残存間隙(残った隙間)が生じることがあります。これは、そのままにしておくと歯列の美しさや咬み合わせに悪影響を及ぼす可能性があります。ここでは、残存間隙の原因と対策について詳しく見ていきましょう。
残存間隙の主な原因は、以下の通りです:
- 歯のサイズの不均一性:上下の歯のサイズや形が異なる場合、隙間が生じる可能性があります。
- 歯の回転:歯が回転してしまうと、歯と歯の間に隙間ができることがあります。
- 歯の形態:歯の形態や形状が不規則な場合、隙間が生じることがあります。
- 歯列の支持状態:歯列の支持状態にバランスがない場合、隙間が発生する可能性があります。
残存間隙を解消するための対策としては、以下のような方法があります:
- レジン使用:歯と歯の間にレジンを使用して、隙間を埋める方法です。この方法は比較的簡単に行えますが、耐久性には限りがあります。
- 再矯正治療:残存間隙の原因を特定し、再度矯正治療を行うことで、隙間を解消する方法です。ただし、再矯正治療は時間と費用がかかる場合があります。
矯正治療後の残存間隙のリスクと予防法
矯正治療後に残存間隙が生じるリスクを最小限に抑えるためには、以下の予防法を実践することが重要です:1. リテーナーの適切な使用:治療終了後に矯正リテーナーを適切に使用することで、歯の移動を安定させることができます。2. 正しい咬み合わせの確保:咬み合わせが適切であることを確認し、歯の上下関係をバランスさせることが重要です。3. 定期的な歯科検診:定期的な歯科検診によって、歯列の状態をモニタリングし、問題があれば早めに対処することができます。
以上の対策を実施することで、矯正治療後の残存間隙を最小限に抑えることができます。矯正歯科専門医との相談を通じて、最適な解決策を見つけることが重要です。
まとめ
抜歯矯正と矯正歯科の専門的手法の比較
抜歯矯正と矯正歯科の専門的手法は、歯列矯正のために使用される2つの主要なオプションです。どちらの方法が最適かは、患者の状態や希望に基づいて個別に決定されます。以下では、抜歯矯正と矯正歯科の専門的手法を比較し、よくある質問に回答します。
抜歯矯正は、歯列の調整のために歯を抜くことを含む手法です。特定の状況では、歯の過剰な重なりや歯列の混み合いを解消するために歯を抜く必要があります。この手法にはいくつかの利点があります。例えば、抜歯によって歯列のバランスが改善され、正しい咬み合わせが実現する可能性があります。しかし、抜歯手術や回復期間が必要であり、一部の患者にとっては費用やリスクが大きい場合もあります。
一方、矯正歯科の専門的手法は、抜歯をすることなく歯列を調整する方法です。この手法では、ブラケットやワイヤーなどの装置を使用して歯を移動させます。矯正歯科の専門的手法は、内科医によってカスタマイズされた計画に基づいて行われ、個別の状況に応じて調整されます。この手法は、抜歯手術や回復期間の必要性を回避できるため、多くの患者にとって魅力的なオプションです。
よくある質問と回答
-
Q: 抜歯矯正と矯正歯科の専門的手法のどちらが効果的ですか?
- A: どちらの手法が効果的かは、患者の個別の状況によります。抜歯矯正は、歯の抜歯によって歯列の混み合いを解消する方法です。一方、矯正歯科の専門的手法は、ブラケットやワイヤーを使用して歯を移動させる方法です。矯正専門医との相談を通じて、最適な手法を決定することが重要です。
-
Q: 矯正歯科の専門的手法は痛みを伴いますか?
- A: 矯正歯科の専門的手法では、一時的な違和感や歯の軽度な痛みが生じることがあります。ただし、通常は痛みは軽度であり、しばしば患者が経験する痛みとは比べ物になりません。矯正治療中の不快感を最小限に抑えるために、矯正専門医は適切なケアと調整を提供します。
-
Q: 矯正歯科の専門的手法はどのくらいの期間が必要ですか?
- A: 矯正歯科の専門的手法の期間は、個人の状況によって異なります。通常、矯正治療は数ヶ月から数年間続くことがあります。矯正専門医は、患者の状況を評価し、最適な計画を立てるために十分な時間をかけます。
抜歯矯正と矯正歯科の専門的手法は、歯列矯正のための重要な選択肢です。どちらの手法が最適かを判断するには、矯正専門医との相談が必要です。目標は、患者の個別のニーズや望みに合わせた最適な治療方法を見つけることです。