投稿日:2015年10月10日 カテゴリ:その他
ポリリンプラチナホワイトニング Case 1
こんにちは。
今日池袋西口では、よさこい祭りが行われていて、とても盛り上がっています。
私も初めて見ましたが、こんな大きなお祭りとは知らずびっくりです!
医院はいつもと変わらず診療していますので、是非お口のことでお困りの際はいらしてくださいね~!
今日は当院で行っているポリリンプラチナホワイトニングの症例をご紹介したいと思います!
まずポリリンプラチナホワイトニングって何?と思われる方もいらっしゃいますよね。
このホワイトニングは、医院に来院していただいて受けていただく、オフィスホワイトニングになります。
特徴としては、ラジカルが2.81倍、3倍白くなる、しみにくい、色の後戻りが少ないなどです。
ステイン除去効果や、沈着防止効果もあり、ホワイトニング後に色の濃い飲食物をとっても問題ありません!
薬剤を歯面に塗布し、8分間光照射します。これを3回繰り返します。これが1セットとなります。
1セットでも効果は出ますが、より白くするには1セット×3回をおすすめしています!
1セット6500円で、3回セットは15000円です。税別です。
最近3回セットで施術された患者様がいらっしゃいますので、ご紹介いたします!
この患者様は、代表神谷の親族で、当グループでインビザライン治療を行いました。その後、ポリリンプラチナホワイトニングを施術しました。
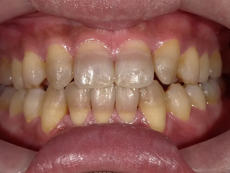
この患者様はテトラサイクリン歯といって歯の変色が強いケースでした。
施術前がこちらです。

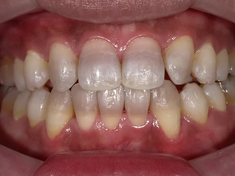
ポリリンプラチナホワイトニング1回目

ポリリンプラチナホワイトニング2回目

ポリリンプラチナホワイトニング3回目

かなり白くなりました!!
1回目でもすごく効果が出ているのがわかりますね!
テトラサイクリン歯なので、色味を完璧に合わせる事は難しいですが、しみたりもぜず、色の変化に患者様もとても満足されていました!!
現在、インビザラインシステムによる治療をされた方は矯正治療終了後、ホワイトニング施術を1セットサービスしております!
ホワイトニングの効果を最大限発揮させるには、歯並びが綺麗なことも重要です。
是非みなさんもポリリンプラチナホワイトニングで白い美しい歯を手に入れてみませんか^^?
また歯並びが気になる方、見えない矯正で治してみませんか^^?
ご興味ありましたら是非一度お話を聞きにきていただけたらと思います。